En la odontología estética, uno de los tratamientos más demandados son las carillas dentales, gracias a que estas permiten mejorar la apariencia bucal de manera eficiente y rápida. Actualmente, existen diferentes tipos de carillas, sin embargo, las carillas estéticas en porcelana y composite con unas de las más populares, debido a las ventajas que ofrecen y a que no requieren de un presupuesto elevado. En Clínica Calvo de Mora son especialistas en estética dental y su equipo médico se encuentra altamente capacitado para realizar los tratamientos de carillas dentales con la tecnología más avanzada.
La solución a los problemas dentales en Madrid, en Clínica Calvo de Mora
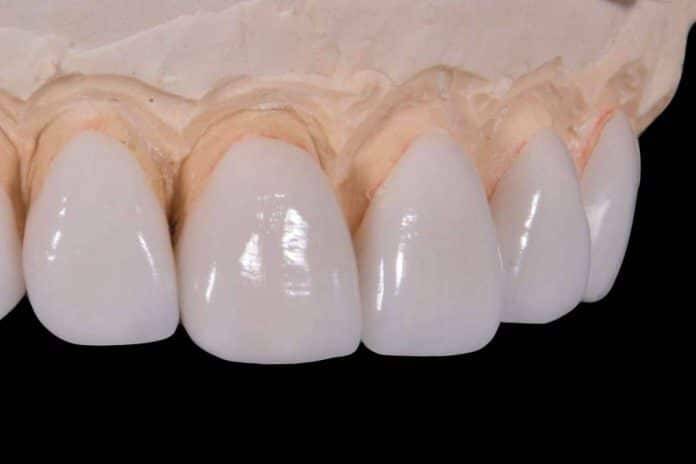
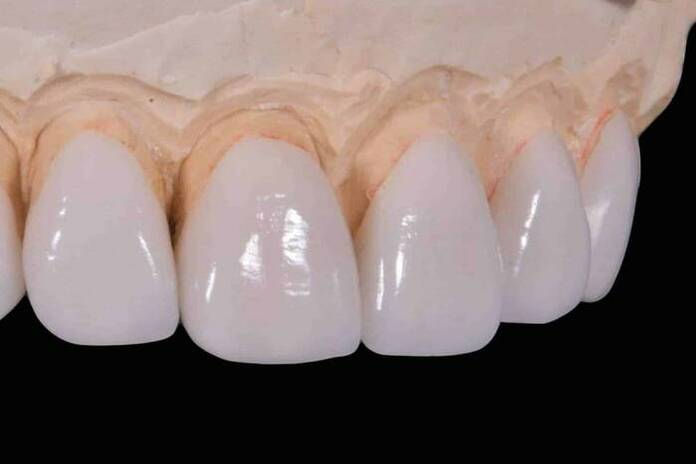
Con el paso del tiempo, el desgaste dental, las caries y otros problemas producidos en los dientes hacen que empiecen a aparecer imperfecciones que afectan la salud dental. En estos casos, una de las soluciones más recomendadas son las carillas dentales, las cuales ayudan a mejorar la autoestima, a dar una solución eficaz a los dientes manchados y a que las personas se vean más jóvenes. Dependiendo del nivel de daño que exista en los dientes, se requerirá de un tipo de carilla específico. Cuando se trata de imperfecciones leves o pequeñas, resulta ideal utilizar carillas de composite, las cuales se elaboran artesanalmente encima del diente natural por el odontólogo encargado, hasta que se obtenga la forma deseada. En el caso de querer un tratamiento mucho más duradero en el tiempo y que se tengan problemas estéticos más profundos, es recomendable un tratamiento de carillas de porcelana, un material que destaca por su alta resistencia y que permite mantener su color original por mucho tiempo. Las carillas estéticas en porcelana y composite están cada vez más de moda, ya que muchas personas utilizan estos tratamientos para mejorar su estética dental y elevar la autoestima.
Tratamientos personalizados y diseño de sonrisa
Los odontólogos de la Clínica Calvo de Mora son profesionales especializados en carillas dentales, capaces de dar con estos tratamientos una solución rápida y definitiva a las imperfecciones dentales relacionadas con el tamaño, color, forma o posición de los dientes. Por esta razón, muchos pacientes solicitan sus servicios para corregir todo tipo de defectos, desde decoloraciones hasta fracturas y dientes torcidos. Los tratamientos de carillas estéticas en porcelana y composite se caracterizan por ser indoloros, rápidos y por no producir rechazos del organismo ni reacciones alérgicas, ya que son biocompatibles. Clínica Calvo de Mora destaca entre la competencia por disponer de los mejores equipos y tecnología para realizar un diseño de sonrisa con planificación digital. Así, partiendo de fotografías del paciente y de la impresión digital, los especialistas pueden realizar un diagnóstico preciso que permita hacer un tratamiento a medida, con un alto nivel de precisión.
Gracias a las carillas estéticas en porcelana y composite de este centro médico de Madrid, las personas pueden recuperar su salud dental y disfrutar nuevamente de una sonrisa reluciente.









