Además de posibilitar el movimiento y proporcionar equilibrio, la columna vertebral también alberga la médula espinal, por lo que cumple una labor fundamental en el cuerpo humano.
Por diferentes causas, sus partes pueden sufrir alteraciones en su morfología y funcionamiento, provocando molestias que, en ocasiones, desembocan en situaciones graves que afectan a la salud de las personas.
Para el Dr. Carlos Botella-Asunción, especialista en neurocirugía y cirugía de hernia discal, esta es una de las afecciones que más afectan a la columna, dada su alta recurrencia y la cantidad de pacientes que sufren esta patología.
Este artículo tiene el propósito de explicar en qué consiste esta enfermedad y cómo afecta a la salud general.
¿Cuáles son las características de las hernias discales dorsales?
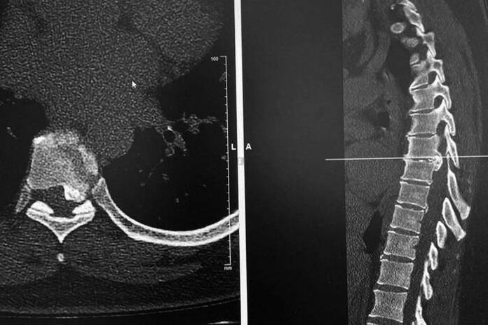
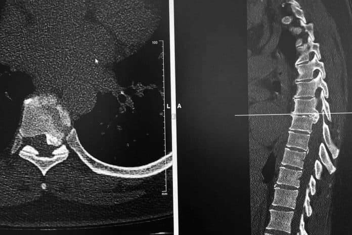
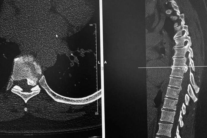
Los discos dorsales son tejidos semejantes a un cojín esponjoso que se encuentran entre las vértebras de la columna. Las hernias aparecen cuando uno de los discos sobresale de entre las vértebras, presionando los nervios y la médula, lo que produce dolor y otros síntomas como la sensación de hormigueo, dependiendo del lugar en el que se originen.
Es común que con la edad, el material gelatinoso que amortigua los discos se debilite y desaparezca, posibilitando movimientos que los desvíe de su posición original, produciendo de esta manera una hernia. Cuando el disco llega a presionar la médula o algún otro nervio importante, es posible que el paciente presente sensación de adormecimiento en las extremidades y, en casos más graves, debilidad en las extremidades o dificultad para el movimiento.
Es habitual que una persona con edad avanzada presente hernias discales, sobre todo cuando han sufrido algún traumatismo en la columna o han sometido su espalda a trabajos pesados sin la correcta supervisión y tratamiento.
Existen diferentes maneras de detectar una hernia discal, pero en todo caso, es el especialista médico el que debe valorar al paciente y especificar el método de diagnóstico que mejor se adapte a sus necesidades y a la naturaleza de su lesión. El tratamiento dependerá de la gravedad de la hernia. Por regla general, el tratamiento es inicialmente conservador con el uso de medicamentos, reposo, rehabilitación e infiltraciones en su caso.
¿En qué consiste la cirugía de hernia discal?
Cuando los tratamientos anteriores no funcionan es necesario llevar a cabo una intervención quirúrgica en donde se extirpe la hernia y se fortalezca la columna vertebral. El Dr. Botella-Asunción es uno de los médicos más reconocidos en cirugía de hernia discal de Valencia utilizando técnicas mínimamente invasivas (endoscópica o microscópica), ya que ha tratado pacientes con todo tipo de anomalías relacionadas con esta enfermedad.
¿Cuándo comunicarse con el médico?
El doctor recomienda solicitar consulta con el especialista si se comienza a tener pérdidas de orina o de evacuaciones intestinales y esto no es algo normal en dicho caso. También cuando el dolor empeora, incluso después de haber tomado los medicamentos o si se tiene alguna pregunta o inquietud acerca de la condición o cuidado.
En su consulta, el Dr. Botella-Asunción espera contribuir a la mejoría de pacientes con problemas derivados de la aparición de hernias discales, de tal manera que encuentren alternativas de tratamiento eficientes con las que puedan mejorar su calidad de vida y fortalecer su salud.



