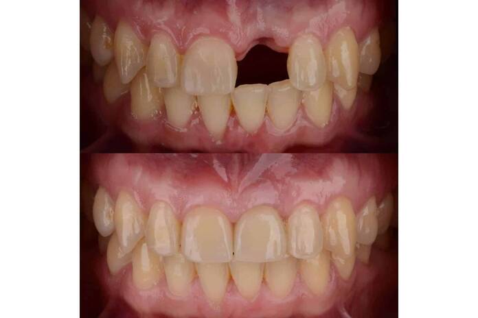
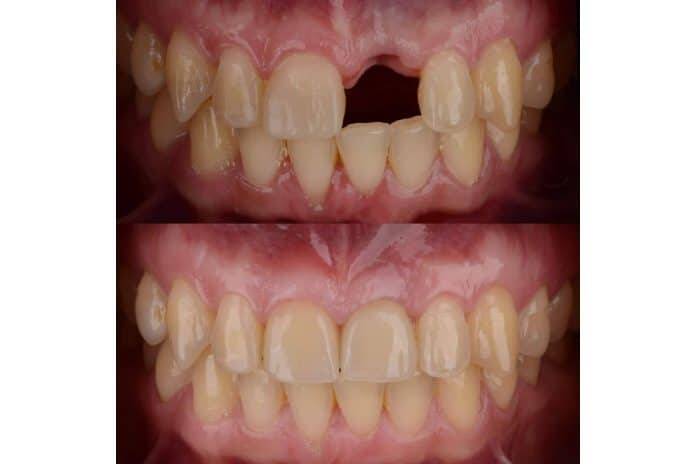
La pérdida de una pieza dental es algo que por lo general las personas buscan solucionar en el menor tiempo posible, ya que se trata de una situación incómoda que afecta la imagen personal y la estética de la sonrisa. Para casos como estos, donde la inmediatez es la prioridad, existe una alternativa en la implantología dental llamada implantes inmediatos.
DeltaDent es una clínica odontológica ubicada en Chamartín, Madrid, especialistas en implantes dentales, incluyendo los implantes inmediatos. La amplia experiencia de sus profesionales, sumada a su equipamiento clínico de última tecnología, hacen que sea uno de los mejores centros odontológicos de la capital española.
¿Qué son los implantes inmediatos?
Los implantes inmediatos son una solución rápida ante la pérdida de una pieza dental, ya sea por accidente o por alguna patología. Su nombre se debe precisamente a que son implantes que se colocan en el mismo procedimiento quirúrgico en el que se extrae la pieza, o en la misma consulta después de la pérdida de la misma. Básicamente, lo que se hace es aprovechar el hueco dejado por el diente original, insertando un implante con un tornillo que cumple la función de raíz. Sobre este tornillo se coloca posteriormente la prótesis, que si bien es provisional, puede soportar una carga inmediata y logra un excelente aspecto natural, funcional y estético. En caso de que la zona en la que será colocado el implante está dañada o no posee suficiente hueso, el procedimiento debe incluir una regeneración. Esta se logra mediante el uso de membranas o de injertos óseos. Por lo general, los implantes inmediatos se utilizan durante un tiempo que puede variar entre los 3 y los 6 meses, antes de la colocación de un nuevo implante definitivo.
Especialistas en la colocación de implantes inmediatos en Madrid
Uno de los centros odontológicos en Madrid especializados en la colocación de implantes inmediatos, es DeltaDent. En esta clínica dental entienden que la pérdida de un diente no solo representa un problema estético para las personas, sino que además puede ocasionar roturas, cargas excesivas y hasta desplazamientos en las piezas sanas restantes. En pocas palabras, se pone en riesgo el resto de la boca. Los implantes dentales en DeltaDent, incluyendo los implantes inmediatos, se hacen tras una previa evaluación rigurosa del paciente para un diagnóstico preciso. Sus implantes inmediatos se colocan en un procedimiento sencillo e indoloro, así como con un posoperatorio mínimo. Además, los especialistas de la clínica mantienen un seguimiento del paciente para garantizar que todo marche correctamente con su implante.
En conclusión, los implantes inmediatos son una solución rápida para la sustitución de una pieza dental dañada, sin prescindir de la funcionalidad y la estética. Para garantizar los mejores resultados es fundamental ponerse en manos de verdaderos expertos. En DeltaDent, los pacientes podrán encontrar a especialistas con mucha experiencia, equipada con lo último en tecnología para tratamientos efectivos, de máxima calidad y con resultados garantizados.









